基礎研究
- 血行再建術後晩期閉塞機序とその制御に関する研究
- 血管内膜肥厚に対する遺伝子治療、薬物療法に関する研究
- 重症虚血肢に対する治療的血管新生療法に関する研究(細胞移植療法と遺伝子治療)
- 大血管手術時の腸管虚血の評価に関する研究
- 動脈瘤の成因に関する研究
- 実験的大動脈瘤モデルの作製
- 人工血管感染防御に関する研究
- イオントフォレーシスを用いた血管疾患の治療に関する研究
血管内膜肥厚の制御
我々の研究の中で特筆すべきは下肢動脈疾患に対する血行再建術の臨床成績と極めてよく相関するウサギ異常血流モデルを用いて実験を行ってきたことです。 我々は下肢動脈疾患臨床例に極めて相関するウサギ異常血流モデルを開発し以下の知見を得ております。
- 異常血流条件下では自家静脈グラフト内膜肥厚が著明に増強されること
- low shear stress下では、prostacyclin(PGI2)、Nitric Oxide(NO)の産生低下が認められ、特に静脈グラフトで顕著で動脈グラフトでは軽微かつ一過性であること
- 高脂血症はグラフト内膜肥厚の増悪因子であること
自家静脈グラフトの再生内皮細胞の機能的異常をNOおよびPGI2を指標として明らかにし、この分野における先駆的業績を残しました。
遺伝子治療
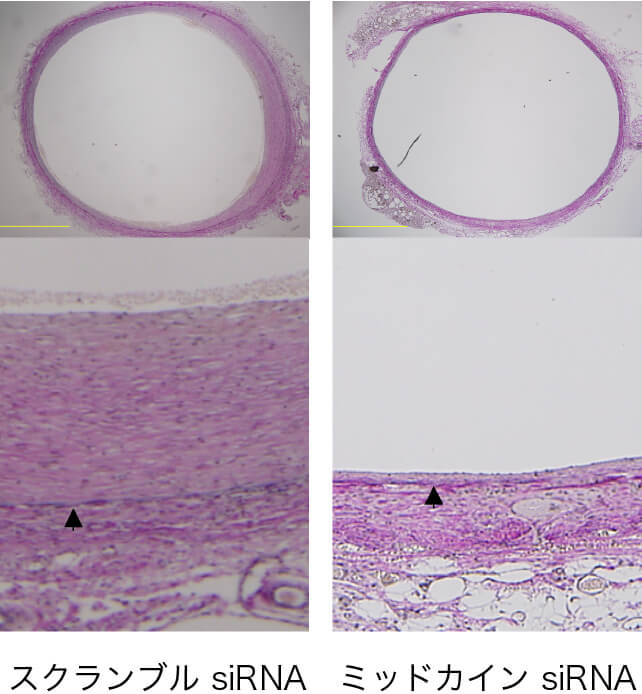
近年は、腫瘍増殖活性,線溶系亢進能,血管新生能,細胞増殖能,細胞遊走能などをもつミッドカイン(MK)に注目しウサギMKを標的としたアンチセンスODNによるバルーン擦過モデル新生内膜の抑制効果(Am J Physiol 2005)、ならびにsiRNAを用いて自家静脈グラフト内膜肥厚抑制効果を確認しました。(J Vasc Surg, 2006)【図1、図2】
静脈グラフト
siRNAによる内膜肥厚抑制効果


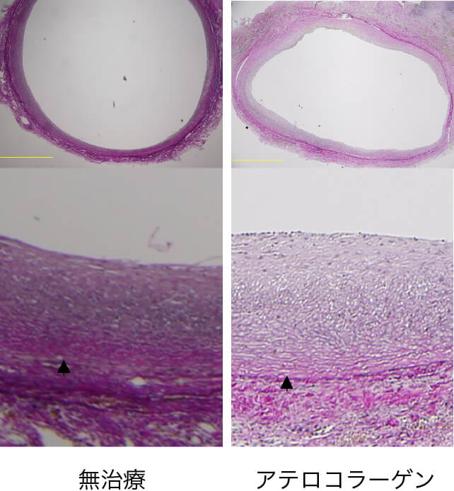
薬物療法
スタチン慢性投与により自家静脈グラフト内膜肥厚抑制効果を認めました。(J Vasc Surg, 2005)
臨床研究
- 重症虚血肢に対する治療的血管新生療法に関する研究(細胞移植療法と遺伝子治療)
- 血行再建術後晩期閉塞機序とその制御に関する研究
- ステントグラフト治療の遠隔期成績改善およびその適応拡大に関する研究
- 胸腹部大動脈瘤に対する低侵襲治療
- バージャー病、血管炎の病理
- 開存率向上ならびに血管内膜肥厚抑制に対する薬物療法の確立および遺伝子治療
- 血管疾患の無侵襲診断法に関する研究
動脈瘤形成・増大の制御
ApoEノックアウトマウスに対してアンギオテンシンII投与による動脈瘤モデルを用いた研究も行っています。我々は以前にロイコトリエン阻害薬を用いて動脈瘤形成を予防できることを報告しました。モンテルカストは選択的cys-LT 1受容体拮抗薬であり、動脈硬化性疾患を抑制することができます。In vitroではモンテルカストはMMP-2、MMP-9、IL-1βの遺伝子発現を有意に抑制し、アルギナーゼ-1とIL-10の遺伝子発現を誘導し、アルギナーゼ-1の細胞表面タンパク質の発現を増強し、IL-10のタンパク質濃度を増加させました。さらにin vivoでは、モンテルカストは大動脈の拡張を有意に減少させ、MMP-2活性を低下させ、M2マクロファージの浸潤を誘導していました。さらに現在は5-リポキシゲナーゼ阻害薬による大動脈瘤に対する治療効果を検討しています。一方、動脈瘤に対する低侵襲治療であるステントグラフト内挿術後の瘤径増大も大きな問題となっています。特にエンドリークが明らかでない症例やType2エンドリークのみ残存している症例といった、瘤内が低圧であると想定される症例における瘤径拡大・破裂の機序については未だによくわかっていません。そこで我々は、ステントグラフト内挿術に伴う瘤壁の血流状態を画像的に診断し、瘤径変化との関連を検討しています。また、動脈瘤が拡大した症例で開腹手術が必要となった場合に動脈瘤壁を採取し、その病理組織学的な検討を行うことで瘤径変化との関連を解明し、画像診断との関連を解析しています。